News archive
On this page you can search for older news. Choose a topic, type of news or enter your own keyword to filter out news.
View compact

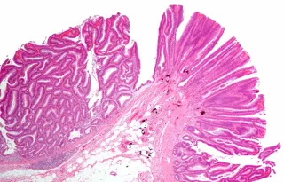
Precancerous colorectal lesions, or dysplasia, in patients with inflammatory bowel disease (IBD) confer markedly different risks of future colorectal cancer depending on dysplasia grade, according to a comprehensive registry study from Karolinska Institutet, Sweden, and NYU Grossman School of Medicine, New York, published in Clinical Gastroenterology and Hepatology.
News

Nominations are now open for positions as faculty members on the Faculty Board and committees for Higher Education and Doctoral Education; postgraduate education and research. By nominating a colleague, you contribute to strong, representative and committed academic leadership for KI's education and research.
News
Audience: Medarbetare

Silent clapping, often referred to as “jazz hands”, is becoming popular as a way to make events more neurodivergent friendly. A new study from Karolinska Institutet shows that both neurodivergent and neurotypical people are generally positive towards the practice, although opinions vary widely. The study also highlights differing language preferences, with many participants indicating that both identity‑first and person‑first terms are acceptable.
News

Using a combination of strategic recruitment and an internal nomination process, KI hopes to be able to nominate particularly promising young researchers for the Swedish Research Council’s new call. Jesper Lagergren, chairman of KI’s recruitment committee, considers the initiative both right and promising.
News

KI’s major recruitment drive for assistant professors has proved a success beyond Sweden and according to Sten Linnarsson, one of the driving forces behind the excellence-focused international initiative, the outcome will make its mark on KI for decades to come.
News

In a new study from Karolinska Institutet, published in Nature Neuroscience, researchers have identified the neurogenic progenitor that give rise to dopaminergic neurons, the primary neurons affected in Parkinson’s disease. These findings could help improve how dopaminergic neurons are produced for transplantation in Parkinson’s disease.
News
A recently published study from Karolinska Institutet shows that mortality among people who inject drugs enrolled in the Stockholm needle and syringe program declined over a ten-year period, with a marked reduction in opioid overdose deaths. The study is published in Harm Reduction Journal, and the findings coincide with a period of expanded harm reduction interventions, including the implementation of a take-home naloxone program.
News

The most common way to treat cancer with radiation is with photon beams, which are light-like beams. The technology now allows radiation to be aimed very precisely at the tumor. This protects healthy tissue but demands extreme precision. Small errors in measurements, machines, or software can lead to slightly high or low doses. This thesis examines several areas where such errors may arise.
News

Certain gut bacteria in infants may reduce the risk of developing allergies later in childhood. This is the finding of new research from the ALADDIN study at Karolinska Institutet, published in Nature Microbiology.
News

Welcome to submit your abstract to Karolinska Institutet's Educational Congress 2026. The congress will take place in Stockholm, 7–8 October.
News

Immunotherapy given before or after surgery is increasingly used across several cancer areas. In an article published in the Journal of Internal Medicine, researchers at Karolinska Institutet present a comprehensive review of studies across seven tumour areas, showing how the field is moving towards earlier treatment.
News

On 1 February, Christofer Juhlin took up a combined professorship in tumour pathology at the Department of Oncology-Pathology. He also works as a senior physician in clinical pathology at Karolinska University Hospital. We took the opportunity to ask him a few questions about his research and his new role.
News

A Swedish study, recently published in the scientific journal Neurology, has found that individuals who have experienced a traumatic brain injury are more likely to face periods of work disability that can last for up to five years following the injury.
News

Neurosurgeon and researcher Elham Rostami is back at FyFa, where she once began her career. She now combines her research into traumatic brain injuries with her clinical work and her role as director of FyFa's new HumanLab.
News
Audience: Medarbetare
C3 Fysiologi och farmakologi

Welcome to take part of the operational plan for KI's Professional Services 2026. The focus is on both joint priorities and the office’s own missions and areas of development in order to meet the needs of KI’s core activities, education and research.
News
Audience: Medarbetare

In January 2026, the President of Karolinska Institutet appointed Lars Holmgren as the new Integration Director for SciLifeLab at KI. In this role, Lars Holmgren will serve as chairman of the SciLifeLab Committee at KI.
News
Audience: Medarbetare

Researchers at Karolinska Institutet have identified a circular RNA in mitochondria that plays an important role in the healing of chronic wounds. The study is published in Advanced Science.
News

A doctoral thesis at Karolinska Institutet investigates how an AI-enhanced social robot can be used as a virtual patient to improve the clinical reasoning and communication training of medical students.
News

New findings from Karolinska Institutet reveal how the gene HNRNPU coordinates several fundamental molecular processes during the earliest stages of human brain development. The study is published in Nucleic Acids Research and helps explain why children with pathogenic variants in HNRNPU often develop severe neurodevelopmental disorders, including intellectual disability, autism, and epilepsy.
News

People with lower kidney function may have higher levels of several blood markers often used in research on Alzheimer’s disease and related dementias. This is shown in a new systematic review and meta‑analysis published in The Journal of the American Society of Nephrology.
News
Hi Alexander Kvist, doctoral student at the Division of Physiotherapy. On March 6 you will defend your thesis ”Evaluating complex walking in aging and neurological disease : from motor behavior to brain activity”. What is the main focus of the thesis?
News

Wednesday, 16 April, it is time for KI’s Sustainability Day. This year’s theme explores how what we eat connects sustainable development with human health. Employees and students are invited to a day in Campus Flemingsberg with inspirational lectures, group discussions and several award ceremonies.
News
Audience: Medarbetare

Anna Sandström is Associate Professor and researcher in the research group Reproductive, Perinatal and Pediatric Epidemiology at the Department of Medicine, Solna, Karolinska Institutet and work as an Obstetrician at Karolinska University Hospital, Solna. The overarching goal of the group’s research is to increase knowledge and promote evidence-based care for women and their children during pregnancy, childbirth, and the neonatal period.
News
Audience: Medarbetare
K2.Avdelningen för Clinicum
Welcome to Charilaos Chourpiliadis' presentation of his thesis ”A novel evaluation of potential risk and prognostic factors for amyotrophic lateral sclerosis”.
News

Katarina Berinder at the Experimental and Clinical Neuroendocrinology research group, Department of Molecular Medicine and Surgery, became docent in endocrinology and diabetes on January 27, 2026.
Katarina's research is primarily focused on pituitary diseases, with a particular focus on hyperprolactinemia. She conducts clinical and epidemiological studies in the pituitary area as well as other endocrine diseases, including adrenal diseases.
Katarina's research is primarily focused on pituitary diseases, with a particular focus on hyperprolactinemia. She conducts clinical and epidemiological studies in the pituitary area as well as other endocrine diseases, including adrenal diseases.
News

Since May 2025, Alexandra Kambler and Ingrid Öberg have been working as student and doctoral ombudspersons at the Medical Students’ Association. Their role is to make it easier for KI students to access support in time, prevent problems from escalating, and contribute to clearer and safer processes throughout their studies.
News

From 30 March to 17 April, a new round of the employee survey will be conducted to provide an update on our workplace environment. The survey is an important part of KI’s systematic work environment efforts and a way to follow up on working environment, wellbeing, and leadership. It is also a central tool in the ongoing dialogue that drives KI’s continued development – which we do together!
News
Audience: Medarbetare

Anna Stoltenberg is a statistician at the Department of Medicine, Solna, and an advisor in the Clinicum network.
News
Audience: Medarbetare
K2.Avdelningen för Clinicum

Below is information about automatically charged monthly permits, changed garage codes in Flemingsberg, and fines/control fees issued in January.
News
Audience: Medarbetare
H1 Neurobiologi, vårdvetenskap och samhälle

The application period is now open for both the KI Global Master’s Scholarship and the KI‑DIS Fellowship. These merit-based scholarships cover the full tuition fee for students admitted to one of Karolinska Institutet’s global master’s programmes.
News
On 2 February, Per Anders Nilsson Strandberg took up his post as Head of Unit for the Faculty Unit for Education. He comes most recently from Mälardalen University.
News
Audience: Medarbetare

Karolinska Institutet (KI) and the University of Toronto (U of T) have announced the second cohort of Mats Sundin Fellows in Human Developmental Health for postdoctoral researchers. The two-year exchange programme offers promising young researchers the opportunity to grow and test their wings in other research environments. Behind the initiative is ice hockey legend Mats Sundin, whose engagement lays the groundwork for the next generation of leading researchers.
News

Kristiina Tammimies, Senior Lecturer and Associate Professor of Medical Genetics at Karolinska Institutet, has been appointed Vice Chair of the steering group for the Strategic Research Area in Neuroscience (StratNeuro). The decision was made by the Committee for Research in connection with the new term of office that commenced in January 2026.
News

A large-scale multi-omics study from Karolinska Institutet, published in Genome Medicine, provides new insight into the molecular mechanisms underlying unstable atherosclerosis, one of the most important causes of ischemic stroke and myocardial infarction.
News

The Swedish Higher Education Authority (UKÄ) will be auditing KI’s quality-assurance processes in education and research over the coming two years. The audit will be based on a self-assessment, which will now commence.
News

To take an exam, you must be able to verify your identity. E‑ID cards, service ID cards and national ID cards (from countries within the EU, EEA or Schengen) are now also accepted as valid forms of identification.
News

NeurotechEU, the European University alliance that KI is part of, is launching a new self-paced online training on Diversity, Equity and Inclusion (DEI) to help students, educators and support staff in intentionally designing more inclusive higher education learning environments.
News
Audience: Medarbetare
The licence cost for Microsoft 365 Copilot, which gives you access to all AI features developed for M365, has now been reduced. The new price is SEK 175 per user and month.
News
Audience: Medarbetare

When the AI service Sundi is now being launched in Sweden, users will receive individualised support to achieve their personal health goals. The advice is based on the latest research that is updated and reviewed by doctors and researchers. Sundi is a non-profit initiative from Bosch Health Campus (BHC) in Stuttgart and Charité – Universitätsmedizin in Berlin in collaboration with researchers from Karolinska Institutet who review the research content.
News

The Conference "Women of NeurotechEU: Empower, Lead, Innovate" is an international event organized by the “Iuliu Hațieganu” University of Medicine and Pharmacy in Cluj-Napoca, under the umbrella of the NeurotechEU European University Alliance, in connection with International Women’s Day.
News

KI is currently developing a future cultural initiative. We are gathering ideas to create activities that feel relevant, accessible, and meaningful for those who study or work at KI.
News
Audience: Medarbetare

Lina Davies is an Associate Professor and Senior Consultant, specialized in internal medicine and infectious diseases at the Department of Medicine, Solna, Karolinska Institutet.
News
Audience: Medarbetare
K2.Avdelningen för Clinicum
The first staff meeting for Professional Services (GVS), which now includes the KIB University Library, took place in Aula Medica. The agenda included current issues at KI, a status report from the GVS management team and an in-depth look at the Karolinska ATMP Centre with its director, Knut Steffensen.
News
Audience: Medarbetare
GVS Gemensamt verksamhetsstöd, CB Karolinska Institutet Universitetsbiblioteket, TL Undervisning och lärande

You can now watch the recordings from the hearings on 4 February, where the candidates for the positions of dean for higher education, doctoral education and research presented their ideas for leading KI forward. If you are eligible to vote, use your opportunity to influence and vote by 11 February.
News
Audience: Medarbetare
From January 1, 2026, there is a new arrangement for the safety courses in liquid nitrogen for Biomedicum, ANA Futura and Neo.
News
Audience: Medarbetare
H5 Laboratoriemedicin, H9 Klinisk vetenskap, intervention och teknik, H7 Medicin, Huddinge, OF Odontologi, H1.Neurogeriatrik, H1.Klinisk geriatrik

Anna Nilsson, Professor of Paediatric Oncology at Karolinska Institutet (KI) and Senior Consultant at Astrid Lindgren Children’s Hospital, has been appointed Vice Director of the Board of Cancer Research KI (CRKI). The organisation brings together cancer research from more than 400 research groups across the university and works to ensure that new knowledge benefits patients.
News
The Lennart Nilsson foundation was established in 1998 in order to bestow an award in recognition of the world-renowned Swedish photographer Lennart Nilsson and his extraordinary body of work. Its main aim is to promote education, training and research within the medical, biological and engineering sciences through the use of images.
News

Breast cancer tumours can contain different cell types and structures, which may influence how the disease develops and responds to treatment. In a new thesis from Karolinska Institutet, Qiao Yang at the department of oncology pathology uses computer based methods and multi omics data to map this variation in large, untreated breast tumours. The findings may help support more comprehensive diagnostic strategies and inform future treatment decisions.
News

How hereditary Alzheimer’s disease develops in its early stages depends on which genetic mutation a person carries. This is shown in a new study from Karolinska Institutet, published in the journal Translational Psychiatry.
News
We are happy to introduce new colleagues at the Department of Laboratory Medicine. Welcome everyone!
News
Audience: Medarbetare
H5 Laboratoriemedicin
